Tooth Ache Treatment in Downey, CA
When you’re dealing with a toothache, all you want is relief. The discomfort can make it hard to concentrate, sleep, or enjoy meals. Getting help from a skilled dentist can restore your comfort and your peace of mind. It feels good to know you’re taking care of your health and protecting your smile. Why people …
Read More
Dental Implant Procedure FAQs in Downey, CA
Dental implants are not only about restoring your smile’s appearance—they also play an important role in protecting and improving your dental health. Patients often want to know how implants help keep their teeth, gums, and jaw strong over the long term. Below are answers to some of the most common questions about dental implants and …
Read More
Dentist Accepting Emergency Patients in Downey, CA
When a dental emergency happens, you want help fast, and you want to know that you’re in good hands. Whether it’s a chipped tooth, sudden pain, or a problem that can’t wait, having access to a dentist accepting emergency patients can bring immediate relief and peace of mind. Getting care quickly can protect your health, …
Read More
Dental Implants For Missing Teeth in Downey, CA
A complete smile brings confidence, comfort, and pride in your appearance. When one or more teeth are missing, it can affect not only how your smile looks but also how you feel in daily life. Choosing dental implants for missing teeth is one of the most effective ways to restore both your smile and your …
Read More
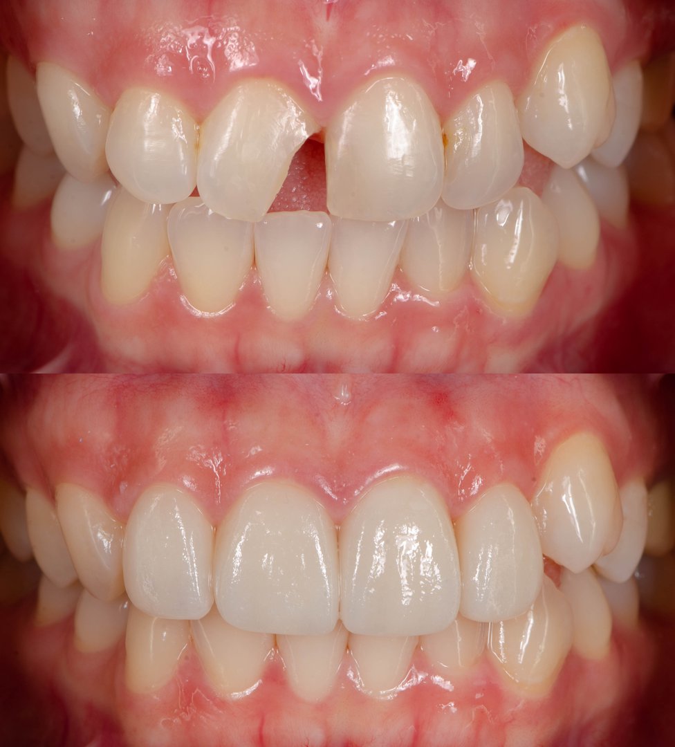
Broken Tooth Treatment in Downey, CA
Broken Tooth Treatment A broken tooth can be a shock, but it doesn’t have to ruin your day. Getting prompt and professional care helps restore not only the function of your tooth but also your confidence in your smile. With the right dental team, you’ll feel supported and informed every step of the way. Common …
Read More
Best Dental Implant Dentist Near Me in Downey, CA
Best Dental Implant Dentist Near Me When you’re looking for the best dental implant dentist near you, experience and professionalism matter. You want to feel confident that the dentist you choose has the skill, care, and dedication to help you restore your smile with lasting results. A knowledgeable and supportive dental team can make the …
Read More
Best Emergency Dentist in Downey, CA
Best Emergency Dentist When a dental emergency happens, you want to be treated by a dentist who brings experience, professionalism, and a calming presence to your situation. The best emergency dentist will not only treat the problem quickly—they’ll also take the time to explain your options and help you feel in control of your care. …
Read More
Best Dental Implant Dentist in Downey, CA
Best Dental Implant Dentist Finding the best dental implant dentist means choosing a dentist who brings skill, professionalism, and a commitment to personalized care. When you’re considering dental implants, you want to feel confident that your dentist will guide you clearly through every step, answer your questions, and help you make choices that are right …
Read More
Tooth Pain Treatment Near Me in Downey, CA
When tooth pain arises, the anxiety and discomfort can be overwhelming. A compassionate and attentive dental practice understands this and prioritizes creating a calming and supportive environment. From the moment you step into the office, you should feel reassured that your well-being is their top concern. The staff’s focus on your comfort extends to every …
Read More
Top Rated Dental Implant Dentist in Downey, CA
Top Rated Dental Implant Dentist Comfort matters when you’re considering dental implants, and working with a top rated dental implant dentist can make all the difference. From the first consultation to the final restoration, feeling at ease throughout the process helps build confidence and ensures that your experience is as smooth and stress-free as possible. …
Read More